Tooth Stain Removal: How to Remove Tooth Stains Safely and Restore a Healthy, Natural Smile
Tooth stain removal is one of the most common cosmetic concerns we see at Optimal Dental Health Baker Street. Many of our patients feel frustrated when brushing twice daily and still noticing yellow, brown, or dark patches on their teeth.
Others feel self-conscious smiling in photos, avoiding social situations, or worrying that stained teeth make them look unhealthy or older than they are. The good news? Tooth stain removal is possible, and when done correctly, it can dramatically improve both the appearance of your smile and your confidence.
In this guide, we’ll explain why tooth stains happen, how to remove tooth stains safely, and which tooth stain removal options actually work, without damaging your enamel.
What Causes Tooth Stains?

Understanding the cause of tooth staining is the first step to effective tooth stain removal. According to guidance echoed by the British Dental Association (BDA), tooth stains generally fall into two categories, extrinsic and intrinsic stains.
Extrinsic Tooth Stains (Surface Stains)
These stains affect the outer layer of the tooth (enamel) and are the most common reason patients seek stain removal for teeth. Causes include:
- Tea, coffee, and red wine
- Smoking or vaping
- Dark-coloured foods (berries, curries, soy sauce)
- Poor brushing technique
- Infrequent professional cleanings
Extrinsic stains respond very well to professional tooth stain removal and improved daily oral hygiene.
Intrinsic Tooth Stains (Internal Discolouration)
Intrinsic stains form inside the tooth and are often harder to remove. They may be caused by:
- Tooth trauma
- Certain medications (such as tetracycline)
- Excess fluoride exposure during childhood
- Age-related thinning of enamel
In these cases, cosmetic dentistry options may be required to fully get rid of tooth stains.
Why Tooth Stain Removal Is Such a Common Pain Point
Many patients tell us:
- “I brush every day, why won’t these stains go away?”
- “I’m embarrassed to smile in photos.”
- “I don’t want unnaturally white teeth, just clean ones.”
- “I’m worried whitening will damage my teeth.”
These concerns are valid. Both Colgate and the BDA highlight that aggressive whitening or DIY methods can harm enamel if not used properly. That’s why a professional, tailored and holistic approach to tooth stain removal is essential.
Professional Tooth Stain Removal
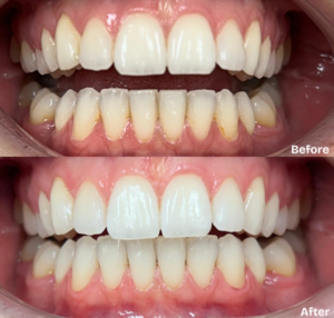
If you want to safely and effectively remove tooth stains, professional dental treatment remains the most reliable option for you.
1. Air Polishing & Scale and Polish for Tooth Stain Removal
For surface stains, professional dental cleaning is often all that’s needed. This involves:
- Removing plaque and tartar build-up
- Using advanced polishing systems to lift stains
- Restoring your teeth’s natural brightness
This type of stain removal for teeth is pain-free and ideal for tea and coffee drinkers or smokers. Our dental hygienists Brooke Shipp and Siobhan Mottley are on-hand to provide biological dental cleaning in London.
2. Professional Teeth Whitening
When stains are deeper, dentist-led whitening can help get rid of tooth stains more effectively than over-the-counter products. Professional whitening:
- Is clinically proven and enamel-safe
- Penetrates deeper stains
- Is carefully monitored to reduce sensitivity
Important: Teeth whitening should always be dentist-approved to protect enamel and gum health.
Can You Remove Tooth Stains at Home?
Many patients ask about at-home remedies for tooth stain removal. While some methods can help maintain results, others are risky.
What Helps:
- Brushing twice daily with a fluoride toothpaste
- Electric toothbrushes for deeper cleaning
- Low-abrasive whitening toothpastes
- Daily flossing to prevent stain-trapping plaque
What to Avoid:
- Baking soda used excessively
- Lemon juice or vinegar (highly acidic)
- Activated charcoal without professional advice
Abrasive or acidic DIY methods can wear away enamel, making teeth darker over time, not whiter.
Holistic Tooth Stain Prevention

At Optimal Dental Health, we take a holistic approach to stain removal for teeth. This means not only removing stains but also helping prevent them from returning.
Simple lifestyle changes include:
- Drinking water after tea or coffee
- Using a straw for staining drinks
- Quitting smoking or vaping
- Regular dental check-ups and hygiene visits
By caring for your oral health as a whole, you reduce inflammation, protect enamel, and maintain a brighter smile naturally, as well as optimising your overall whole-body health.
Does Tooth Stain Removal Damage Teeth?
This is one of the biggest fears patients have, and rightly so. When performed professionally and responsibly, tooth stain removal does not damage teeth.
Problems arise when:
- Whitening products are overused, causing more damage.
- Cheap or unregulated kits are used, many with illegal percentages of peroxide.
- Abrasive scrubs wear down enamel, including whitening toothpastes.
How Often Should You Have Tooth Stain Removal?
This depends on your lifestyle and oral health. Many of our patients benefit from:
- A professional clean every six months
- Whitening top-ups every 12 to 24 months as recommended by your dentist
- Personalised hygiene advice at Optimal Dental Health
A dentist-led plan ensures you remove tooth stains safely without compromising enamel strength.
When to See a Dentist About Tooth Stains
If your stains:
- Aren’t improving with brushing
- Are worsening over time
- Are uneven or patchy
- Affect your confidence
It’s time to seek professional advice. Some discolouration can indicate underlying dental issues that require more than cosmetic treatment. A 15-point dental health check with our holistic dentist in London will help take a deeper dive into your overall oral health.
Why Choose Optimal Dental Health for Tooth Stain Removal?
We combine evidence-based dentistry, patient-centred care and advanced stain removal treatment. We are proud to give our patients honest advice, no over-treatment and always a holistic approach.
Our goal isn’t unnaturally white smiles, it’s healthy, confident, natural-looking teeth for life. For optimal results, we recommend a biological dental clean, followed by safe, professional home-whitening treatment for a brighter, more confident smile.
Frequently Asked Questions
Can tooth stains be removed permanently?
Some tooth stains can be removed permanently, but new stains can form without good oral hygiene and regular dental cleanings.
What is the best way to remove tooth stains?
Professional tooth stain removal is the safest and most effective way to remove tooth stains without damaging enamel.
Is tooth stain removal safe?
Yes. Dentist-led tooth stain removal is safe and designed to protect enamel and gums.
How long does tooth stain removal last?
Results can last months or years depending on diet, oral hygiene, and lifestyle habits.
Are DIY stain removal methods safe?
Most DIY methods are not recommended, as they can damage enamel and make stains worse over time.
About the Author: Dr James Goolnik
Dr James Goolnik is the founder and lead clinician at Optimal Dental Health, with over two decades of experience in advanced and holistic dentistry. He is known for his commitment to evidence-based care, minimally invasive treatments, and educating patients so they can make informed decisions about their oral health.
Dr Goolnik regularly draws on guidance from trusted organisations such as the British Dental Association, alongside research and best practices supported by global oral health leaders including Oral-B and Colgate. His approach prioritises long-term oral wellness, ensuring cosmetic treatments like tooth stain removal never compromise dental health.
Book Your Biological Dental Clean Today
If you’re looking to book a biological dental hygiene appointment with us, call our friendly team today on 020 3921 1000 or email hello@optimaldental.co.uk. We look forward to welcoming you to our Holistic Dental Practice in London.



